orthodoc-montpellier

ORTHODOC MÉDITERRANÉE

ORTHODOC MÉDITERRANÉE
  • ACCUEIL
  • CONSULTATIONS
    • Centre ORTHODOC Montpellier
    • Centre ORTHODOC Clermont-l'Hérault
    • Préparer ma consultation
    • Les examens complémentaires
  • NOS SPÉCIALITÉS
    • L'ÉPAULE
    • COUDE / POIGNET / MAIN
      • Le COUDE
      • Le POIGNET
      • La MAIN
    • LA HANCHE
    • LE GENOU
    • CHEVILLE / AVANT-PIED -CMCP
  • LES CHIRURGIENS
    • Docteur Fabrice ALONSO
    • Docteur Baptiste BÉNAZECH
    • Docteur François COTTALORDA
    • Docteur Laurent GEISS
    • Docteur Pierre-Étienne MOREAU
    • Docteur Yannick ROUSSANNE
  • ESPACE PATIENT
    • La polyclinique SAINT-ROCH
    • Les démarches administratives
    • Préparer mon intervention
    • Le déroulement de l'hospitalisation
    • Le programme SHERPA
  • PRENDRE RDV

CHIRURGIE ORTHOPÉDIQUE et TRAUMATOLOGIQUE - MONTPELLIER

CHIRURGIE OSSEUSE ET ARTICULAIRE - CHIRURGIE PROTHÉTIQUE - CHIRURGIE ARTHROSCOPIQUE - CHIRURGIE DU SPORT

CHIRURGIE PROTHÉTIQUE DE L'ÉPAULE

URGENCES
EPAULE / COUDE
24/24h

CHIRURGIE
PROTHÉTIQUE
NAVIGUÉE

CHIRURGIE PROTHETIQUE DE l'EPAULE

CHIRURGIE PROTHÉTIQUE DE L'ÉPAULE

URGENCES
EPAULE / COUDE
24/24h

CHIRURGIE
PROTHÉTIQUE
NAVIGUÉE

TRAUMATOLOGIE DE L'ÉPAULE

URGENCES
EPAULE / COUDE
24/24h

SOS ÉPAULE
URGENCES SPORTIVES

CHIRURGIE ARTHROSCOPIQUE DE L'ÉPAULE

CHIRURGIE DE LA COIFFE
INSTABILITÉ DE L'ÉPAULE

CHIRURGIE AMBULATOIRE
DE l'EPAULE

CHIRURGIE ARTHROSCOPIQUE DE L'EPAULE
epaule_montpellier
ORTHODOC ÉPAULE
  • HOME
  • ANATOMIE
  • PATHOLOGIES
    • Pathologie de la coiffe des rotateurs
    • Bursite / Conflit Sous-Acromial
    • Instabilité de l'Épaule
    • Arthrose et prothèse de l'Épaule
    • Traumatologie - Fractures
    • Dysjonction Acromio-Claviculaire
    • Calcification de l'Épaule
    • Données statistiques & littérature
  • LES CHIRURGIENS
    • Docteur Yannick ROUSSANNE
    • Docteur Laurent GEISS
  • MON INTERVENTION
    • Préparer Mon Intervention
    • Protocole chirurgie ambulatoire
    • Déroulement de l'intervention
    • Consignes post-opératoires
    • Protocole pansement arthroscopie
  • QUESTIONS-FAQ
  • ACCES PRO

LES FRACTURES DE L'ÉPAULE


Le Dr Yannick Roussanne et le Dr Laurent Geiss, chirurgiens orthopédistes spécialisés en traumatologie de l'épaule à Montpellier, prennent en charge les fractures de l'humérus, de la clavicule et de la scapula en urgence à la Polyclinique Saint-Roch avec un service d'urgences qui vous accueille 24h/24 7j/7.

DOCTEUR YANNICK ROUSSANNE

Chirurgie de l'Épaule et du Membre Supérieur
Chirurgie de la main, du poignet et du coude

PRENDRE UN RDV EN LIGNE

DOCTEUR LAURENT GEISS

Chirurgie de l'Épaule et du Membre Supérieur
Chirurgie de la Hanche et du Bassin

PRENDRE UN RDV EN LIGNE

FRACTURES DE L'HUMERUS

FRACTURES DE LA CLAVICULE

FRACTURES DE LA SCAPULA


FRACTURES DE L'EXTREMITE SUPERIEURE DE L'HUMERUS

Anatomie et physiopathologie

Les fractures de l'extrémité supérieure de l'humérus représentent 6% des fractures du corps humain. Il s'agit donc de fractures relativement fréquentes mais qui n'ont pas toutes le même pronostic.
On distingue :
- Les fractures extra-articulaires : fracture du col chirurgical de l'humérus , les fractures diaphysaires
- Les fractures articulaires simples: fracture du trochiter, fracture du trochin
- Les fractures articulaires complexes : les fractures céphalo-tuberositaires
- Les fractures luxation: qui peuvent être simples ou complexes et qui associent aux lésions osseuses des lésions capsulo-ligamentaires.

Ces fractures peuvent survenir lors d'un traumatisme violent ou d'une simple chute. Elles s'accompagnent de douleurs et d'une impotence fonctionnelle du membre supérieur.
Un avis spécialisé est recommandé.

anatomie humérus

Quels sont les examens complémentaires à réaliser ?

Dans un premier temps des radiographies permettent d'avoir une orientation diagnostique en corrélation avec l'examen clinique du chirurgien. Il s’agit du bilan de débrouillage qui sera complété si nécessaire par un scanner .
Si votre médecin généraliste vous oriente vers le chirurgien il pourra, afin de vous faire gagner du temps, vous prescrire ces examens complémentaires. Ceux-ci seront indispensables pour définir précisemment les gestes de réparation qui seront nécessaires au traitement.


Quels sont les traitements ?

En fonction du type de fracture et du déplacement des fragments osseux mais aussi de votre demande fonctionnelle, votre chirurgien vous proposera le traitement le plus adapté.

Le traitement Orthopédique (non chirurgical):

Les fractures simples et peu déplacées peuvent être traitées orthopédiquement ; c'est à dire par une immobilisation dans une attelle coude ou corps. La durée d'immobilisation est de 4 à 6 semaines.
Durant cette période vous serez revu par le chirurgien pour qu'il s'assure de l'absence de déplacement secondaire.
L'attelle peut être enlevée pour étendre le coude lorsque vous serez assis ou allongé. elle sera aussi enlevée pour la toilette et la douche. Le reste du temps elle doit être porté de façon continue jour et nuit.

attelle coude au corps
attelle rotation externe épaule

Le traitement chirurgical:

Le traitement chirurgical sera adapté au type de fracture mais aussi au patient (âge, lésions pré-existantes, état général et demande fonctionnelle).
En fonction de tous ces éléments le traitement pourra consister en :
- une ostéosynthèse ; c'est a dire le repositionnement et la fixation des fragments osseux) . Cette ostéosynthèse peut faire appele à differents types de matériel : clou centro-médullaire, vis etc... L'intervention est réalisée le plus souvent sous anesthésie loco-régionale ( seul votre bras est endormi ) et sous contrôle radiographique, ce qui permet au chirurgien d'avoir un contrôle parfait du positionnement du matériel et de la qualité de la réduction chirurgicale. Après l'intervention le bras est immobilisé dans une attelle coude au corps pour une période de 3 à 6 semaines. La rééducation est généralement débutée à partir de la 3eme semaine chez un kinésitherapeute de ville. la rééducation est longue et demande une étroite collaboration entre le patient et le kinésithérapeute sous le contrôle du chirurgien.


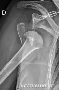
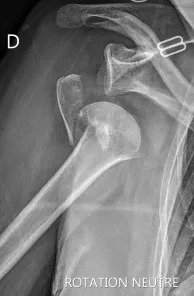
fracture neer 4
enclouage fracture 4 fragments épaule

- la mise en place d'une prothèse de l'épaule si la fracture n'est pas synthésable, c'est à dire si les fragments osseux ne peuvent pas être remis en place. Cette prothèse d'épaule permet de reconstituer l'extremité supérieure de l'humerus mais aussi de redonner la fonction de l'epaule par l'intermédiaire des muscles intacts.

Le plus souvent une prothèse de type inversée est indiquée lorsqu'il existe des lésions associées des tendons de la coiffe des rotateurs ou lorsque la qualité osseuse des tubérosités est médiocre. C'est souvent le cas lors des fractures survenant chez des personnes âgées.

Une prothèse dite "anatomique" est indiquée dans certains cas lorsque les tendons de la coiffe de rotateurs sont fonctionnels et réparables (réparation des tubérosités) mais qu'il existe un risque de nécrose de la tête humérale important.
L'intervention est le plus souvent réalisée sous anethésies loco-régionale. L'immobilisation en post-opératoire est réalisée dans une attelle coude au corps.
La rééducation est débutée de facon immédiate en centre de rééducation puis poursuivie en ville chez un kinésithérapeute.
La durée de récupération est longue et parfois incomplète.

fracture luxation de l'épaule
prothèse inversée pour fracture de l'épaule

Quels sont les risques après ce type de fracture ?

En dehors des risques liés à l’anesthésie, Il existe quelques risques spécifiques à la chirurgie.
- Le risque de raideur résiduelle est important quel que soit la technique utilisée.
- Le risque d’infection faible, mais toujours présent.
- Le risque de nécrose de la tête humérale est liée à la vascularisation précaire de la tête humérale. Selon le type de fracture et le déplacement il est évalué par le chirurgien . un suivi a moyen et long terme par votre chirurgien est nécessaire.
- l'algodystrophie est une complication imprévisible qui entraine une raideur et des douleurs qui peuvent persister pendant longtemps ( 6 mois à 18 mois).
En cas de traitement non chirurgical les risques sont également présents:
- Le risque de raideur résiduelle est important.
- Le risque de nécrose de la tête humérale est liée à la vascularisation précaire de la tête humérale. Selon le type de fracture et le déplacement il est évalué par le chirurgien. Un suivi radiographique à moyen et long terme par votre chirurgien est nécessaire.
- l'algodystrophie est une complication imprévisible qui entraine une raideur et des douleurs qui peuvent persister pendant longtemps ( 6 mois à 18 mois).
N'hésitez pas à poser toutes les questions lors de l'entretien médical de consultation. Il est fondamental que vous compreniez à la fois ce dont vous souffrez, ce que le chirurgien vous propose et les risques de la chirurgie.


Déroulement de l'intervention

L'intervention est réalisée sous anesthésie locorégionale (dans près de 90% des cas) qui est parfois associée à une anesthésie générale. L'anesthésie loco-régionale permet d'éviter les douleurs pendant l'intervention, d'éviter une anesthésie générale et également d'éviter les douleurs post-opératoire pendant une vingtaine d'heures après la chirurgie.
L'intervention se déroule en position semi-assise comme si vous étiez dans un transat.
Pour votre confort une sédation plus ou moins importante vous sera proposée. Nous utilisons également la musique et les casques de réalité virtuelle pour vous permettre de vous détendre au maximum.
La durée de l'intervention est variable en fonction des geste à réaliser (entre 30 min et 45 min).
Avant de remonter dans votre chambre vous passerez par la salle de réveil ou une radiographie de contrôle sera réalisée.
L’intervention peut être réalisée en ambulatoire ou au cours d'une hospitalisation de 24 heures. Vous serez être pris en charge à votre domicile par une infirmière du réseau de soins pendant les 5 jours qui suivront l'intervention.


Les suites de l'intervention en cas de traitement chirurgical

La durée d’hospitalisation est en moyenne de 24 heures (de 1 à 3 jours). Le Lendemain de l’intervention le pansement est refait par l’infirmière du service. Il sera ensuite refait tous les 3 jours pendant 15 jours. Dès le réveil de l'épaule, la douleur sera calmée par des antalgiques adaptés en perfusion puis en comprimés.
Le patient est immobilisé par une attelle coude au corps pendant 3 à 6 semaines. Si l'ostéosynthèse est stable la rééducation est débuté immédiatement à votre retour à domicile. Des exercices d'autorééducation vous seront enseignés par le kinésithérapeute avant votre sortie de la clinique
Vous serez également incité à sortir le bras de l’attelle en position allongée ou assise afin de mobiliser le coude, le poignet et les doigts. Vous serez autorisé à utiliser la main pour la lecture, pour manger ou vous habiller.

De retour à la maison

Une infirmière viendra vous faire les pansements 2 à 3 fois par semaine. Les stéristrips (pansements autocollants) seront enlevés à 15 jours. Votre douleur sera calmée par des antalgiques adaptés.
L’attelle est à garder pendant 4 à 6 semaines.
Vous verrez le docteur Roussanne au 21ème jour qui examinera votre épaule, vous donnera des conseils et vous prescrira la rééducation. Habituellement la rééducation est effectué en ville chez votre kinésithérapeute habituel qui suivra les recommandations précises de votre chirurgien. Il vous enseignera également quelques exercices supplémentaires que vous effectuerez à la maison seul. La balnéothérapie (rééducation dans l’eau) est fortement conseillée dès que la cicatrisation est obtenue.
La durée de rééducation est de 6 à 12 mois après ce type de fracture.
Vous reverrez le chirurgien au 45ème jour puis tous les 45 jours jusqu'à la fin de la rééducation avec des contrôles cliniques et radiographiques.

Quelques précisions utiles ...


FRACTURES DE LA CLAVICULE


Anatomie et physiopathologie

Les fractures de la clavicule sont des fractures très fréquentes du membre supérieur. Elles sont le plus souvent liées à des traumatismes sportifs ou à haute énergie. En fonction de la localisation du trait de fracture et du nombre de fragment elles n'ont pas toutes le même pronostic et donc nécessitent un traitement adapté.
On distingue :
-Les fractures diaphysaires (les plus fréquentes) qui peuvent être simples ou comminutives (avec plusieurs fragments) 
-Les fractures du quart externe de la clavicule qui ont des taux de consolidation moins bons et qui nécessitent souvent un geste chirurgical.
-Les fractures de l'extrémité médiale (internes) situées à proximité du sternum et qui parfois sont associées a une luxation qterno-claviculaire.
Ces fractures peuvent survenir lors d'un traumatisme violent ou d'une simple chute. Elles s'accompagnent de douleurs et d'une impotence fonctionnelle du membre supérieur.
Un avis spécialisé est recommandé.

anatomie de la clavicule

Quels sont les examens complémentaires à réaliser ?

Dans un premier temps des radiographies permettent d'avoir une orientation diagnostique en corrélation avec l'examen clinique du chirurgien. Il s’agit du bilan de débrouillage qui sera complété si nécessaire par un scanner .
Si votre médecin généraliste vous oriente vers le chirurgien il pourra, afin de vous faire gagner du temps, vous prescrire ces examens complémentaires. Ceux-ci seront indispensables pour définir précisemment les gestes de réparation qui seront nécessaires au traitement.


Quels sont les traitements ?

En fonction du type de fracture et du déplacement des fragments osseux mais aussi de votre demande fonctionnelle, votre chirurgien vous proposera le traitement le plus adapté. 

Le traitement Orthopédique (non chirurgical):

Les fractures simples et peu déplacées (et/ou lorsqu'il existe des contre-indications opératoires) peuvent être traitées orthopédiquement; c'est à dire par une immobilisation avec des anneaux claviculaires. La durée d'immobilisation est de 4 à 6 semaines.
Durant cette période vous serez revu par le chirurgien pour qu'il s'assure de l'absence de déplacement secondaire.
Les anneaux claviculaires permettent de maintenir partiellement les fragments osseux et de faciliter la consolidation. Ils doivent être repositionnés deux fois par jour au moins pour être efficaces (votre chirurgien vous apprendra à les positionner avec l'aide d'une personne de votre entourage). Ils peuvent être retirés pour la toilette et la douche. Le reste du temps ils doivent être portés de façon continue  (jour et nuit).
Des radiographies de contrôle seront réalisées à 1 mois puis à 3 mois. La durée de consolidation habituelle est de 3 mois. Il existe un risque non négligeable de fracture itérative pendant la période des 3 mois suivant la fracture. La reprise du sport est déconseillée durant cette période. 

anneaux claviculaires

Le traitement chirurgical:

Le traitement chirurgical sera adapté au type de fracture mais aussi au patient (âge, lésions pré-existantes, état général et demande fonctionnelle).
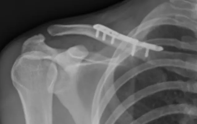
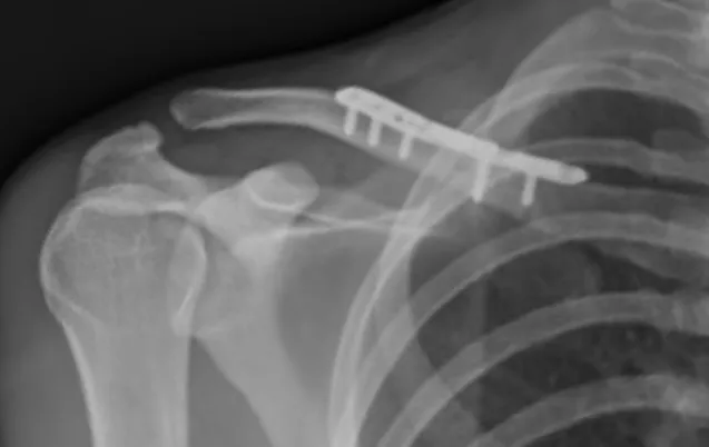
Il consiste en la réalisation d'une ostéosynthèse ; c'est à dire le repositionnement et la fixation des fragments osseux) . Cette ostéosynthèse est le plus souvent réalisée par une plaque vissée. L'intervention est réalisée le plus souvent sous anesthésie générale. une anesthésie loco-régionale est parfois associée afin de diminuer les douleurs post-opératoires. Un contrôle radiographique per-opératoire (pendant l'intervention) permet au chirurgien d'avoir un contrôle parfait du positionnement du matériel et de la qualité de la réduction chirurgicale. Après l'intervention le bras est immobilisé dans une attelle coude au corps pour une période de 4 à 6 semaines. La rééducation est généralement débutée à partir de la 4ème semaine chez un kinésitherapeute de ville. la rééducation est parfois longue et demande une étroite collaboration entre le patient et le kinésithérapeute sous le contrôle du chirurgien.

cicatrice fracture clavicule
plaque de la clavicule

Quels sont les risques après ce type de fracture ?

En dehors des risques liés à l’anesthésie, Il existe quelques risques spécifiques à la chirurgie.
- Le risque de raideur résiduelle existe même si il est rare quelle que soit la technique utilisée.
- Le risque de non-consolidation est faible mais peut nécessite une seconde intervention
- Le risque d’infection faible, mais toujours présent.
- l'algodystrophie est une complication imprévisible qui entraine une raideur et des douleurs qui peuvent persister pendant longtemps ( 6 mois à 18 mois).
- le matériel peut être retiré au bout d'un an en général. Après cette seconde intervention il existe un risque de fracture itérative. 
En cas de traitement non chirurgical les risques sont également présents:
- Le cal osseux est le plus souvent visible mais le plus souvent bien toléré esthétiquement. Il peut exister un raccourcissement du moignon de l'épaule
- Le risque de non-consolidation est non négligeable , il dépend du type de fracture et de la qualité de l'immobilisation initiale .
- Le risque de raideur résiduelle est faible.
- L'algodystrophie est une complication imprévisible qui entraine une raideur et des douleurs qui peuvent persister pendant longtemps ( 6 mois à 18 mois).
N'hésitez pas à poser toutes les questions lors de l'entretien médical de consultation. Il est fondamental que vous compreniez à la fois ce dont vous souffrez, ce que le chirurgien vous propose et les risques de la chirurgie.


Les suites de l'intervention en cas de traitement chirurgical

La durée d’hospitalisation est en moyenne de 24 heures (de 1 à 3 jours). Le Lendemain de l’intervention le pansement est refait par l’infirmière du service. Il sera ensuite refait tous les 3 jours pendant 15 jours. Dès le réveil de l'épaule, la douleur sera calmée par des antalgiques adaptés en perfusion puis en comprimés.
Le patient est immobilisé par une attelle coude au corps pendant 3 à 6 semaines. La rééducation est débuté après 4 semaines.
Vous serez également incité à sortir le bras de l’attelle en position allongée ou assise afin de mobiliser le coude, le poignet et les doigts. Vous serez autorisé à utiliser la main pour la lecture, pour manger ou vous habiller.


De retour à la maison

Une infirmière viendra vous faire les pansements 2 à 3 fois par semaine. Les stéristrips (pansements autocollants) seront enlevés à 15 jours. Votre douleur sera calmée par des antalgiques adaptés.
L’attelle est à garder pendant 4 à 6 semaines.
Vous verrez le médecin rééducateur au 21ème jour qui examinera votre épaule, vous donnera des conseils et vous prescrira la rééducation. Habituellement la rééducation est effectué en ville chez votre kinésithérapeute habituel qui suivra les recommandations précises de votre chirurgien. Il vous enseignera également quelques exercices supplémentaires que vous effectuerez à la maison seul. La balnéothérapie (rééducation dans l’eau) est fortement conseillée dès que la cicatrisation est obtenue.
La durée de rééducation est de 2 à 3 mois après ce type de fracture.
Vous reverrez le chirurgien au 21ème jour puis tous les 45 jours jusqu'à la fin de la rééducation avec des contrôles cliniques et radiographiques.


FRACTURES DE LA SCAPULA (OMOPLATE)

Anatomie et physiopathologie

Les fractures de la scapula sont des fractures rares du membre supérieur. Elles sont le plus souvent liées à des traumatismes à haute énergie. En fonction de la localisation du trait de fracture et du nombre de fragment elles n'ont pas toutes le même pronostic et donc nécessitent un traitement adapté.
On distingue :
-Les fractures du corps (les plus fréquentes) qui peuvent être simples ou comminutives (avec plusieurs fragments). 
-Les articulaires de la glène de la scapula qui peuvent être associées à une luxation de l'épaule (gléno-humérale)
-Les fractures du processus coracoïde et les fracture de l'épine de la scapula sont très rares.
Un avis spécialisé est recommandé.

anatomie scapula

Quels sont les examens complémentaires à réaliser ?

Dans un premier temps des radiographies permettent d'avoir une orientation diagnostique en corrélation avec l'examen clinique du chirurgien. Il s’agit du bilan de débrouillage qui sera complété si nécessaire par un scanner .
Si votre médecin généraliste vous oriente vers le chirurgien il pourra, afin de vous faire gagner du temps, vous prescrire ces examens complémentaires. Ceux-ci seront indispensables pour définir précisemment les gestes de réparation qui seront nécessaires au traitement.


Quels sont les traitements ?

En fonction du type de fracture et du déplacement des fragments osseux mais aussi de votre demande fonctionnelle, votre chirurgien vous proposera le traitement le plus adapté. 


Le traitement Orthopédique (non chirurgical):

Les fractures extra-articulaires, les fractures du corps de la scapula ainsi que les fractures articulaires peu deplacées sont le plus souvent traitées orthopédiquement; c'est à dire par une immobilisation avec une écharpe coude au corps . La durée d'immobilisation est de 4 à 6 semaines.
Durant cette période vous serez revu par le chirurgien pour qu'il s'assure de l'absence de déplacement secondaire.
L'attelle peut être retirée pour la toilette et la douche. 
Des radiographies de contrôle ou un scanner seront réalisées à 1 mois puis à 3 mois. La durée de consolidation habituelle est de 3 mois. 


Le traitement chirurgical:

Le traitement chirurgical sera adapté au type de fracture mais aussi au patient (âge, lésions pré-existantes, état général et demande fonctionnelle).
Il consiste en la réalisation d'une ostéosynthèse ; c'est à dire le repositionnement et la fixation des fragments osseux) . Cette ostéosynthèse est le plus souvent réalisée par de vis et/ou une plaque vissée. L'intervention est réalisée le plus souvent sous anesthésie générale. une anesthésie loco-régionale est parfois associée afin de diminuer les douleurs post-opératoires. Un contrôle radiographique per-opératoire (pendant l'intervention) permet au chirurgien d'avoir un contrôle parfait du positionnement du matériel et de la qualité de la réduction chirurgicale. Après l'intervention le bras est immobilisé dans une attelle coude au corps pour une période de 4 à 6 semaines. La rééducation est généralement débutée à partir de la 4ème semaine chez un kinésitherapeute de ville. la rééducation est parfois longue et demande une étroite collaboration entre le patient et le kinésithérapeute sous le contrôle du chirurgien.


Quels sont les risques après ce type de fracture ?

En dehors des risques liés à l’anesthésie, Il existe quelques risques spécifiques à la chirurgie.
- Le risque de raideur résiduelle existe même si il est rare quelle que soit la technique utilisée.
- Le risque de non-consolidation est faible mais peut nécessite une seconde intervention
- Le risque d’infection faible, mais toujours présent.
- l'algodystrophie est une complication imprévisible qui entraine une raideur et des douleurs qui peuvent persister pendant longtemps ( 6 mois à 18 mois).
- le matériel peut être retiré au bout d'un an en général. 
En cas de traitement non chirurgical les risques sont également présents:
- Le risque de non-consolidation est rare , il dépend du type de fracture et de la qualité de l'immobilisation initiale .
- Le risque de raideur résiduelle est faible.
- L'algodystrophie est une complication imprévisible qui entraine une raideur et des douleurs qui peuvent persister pendant longtemps ( 6 mois à 18 mois).
N'hésitez pas à poser toutes les questions lors de l'entretien médical de consultation. Il est fondamental que vous compreniez à la fois ce dont vous souffrez, ce que le chirurgien vous propose et les risques de la chirurgie.


Les suites de l'intervention en cas de traitement chirurgical

La durée d’hospitalisation est en moyenne de 24 heures (de 1 à 3 jours). Le Lendemain de l’intervention le pansement est refait par l’infirmière du service. Il sera ensuite refait tous les 3 jours pendant 15 jours. Dès le réveil de l'épaule, la douleur sera calmée par des antalgiques adaptés en perfusion puis en comprimés.
Le patient est immobilisé par une attelle coude au corps pendant 4 à 6 semaines. La rééducation est débuté après 4 semaines. 
Vous serez également incité à sortir le bras de l’attelle en position allongée ou assise afin de mobiliser le coude, le poignet et les doigts. Vous serez autorisé à utiliser la main pour la lecture, pour manger ou vous habiller.


De retour à la maison

Une infirmière viendra vous faire les pansements 2 à 3 fois par semaine. Les stéristrips (pansements autocollants) seront enlevés à 15 jours. Votre douleur sera calmée par des antalgiques adaptés.
Vous verrez le médecin rééducateur au 21ème jour qui examinera votre épaule, vous donnera des conseils et vous prescrira la rééducation. Habituellement la rééducation est effectué en ville chez votre kinésithérapeute habituel qui suivra les recommandations précises de votre chirurgien. Il vous enseignera également quelques exercices supplémentaires que vous effectuerez à la maison seul. La balnéothérapie (rééducation dans l’eau) est fortement conseillée dès que la cicatrisation est obtenue.
La durée de rééducation est de 2 à 3 mois après ce type de fracture.
Vous reverrez le chirurgien au 21ème jour puis tous les 45 jours jusqu'à la fin de la rééducation avec des contrôles cliniques et radiographiques.


DOCTEUR YANNICK ROUSSANNE

Chirurgie de l'Épaule et du Membre Supérieur
Chirurgie de la main, du poignet et du coude

PRENDRE UN RDV EN LIGNE

DOCTEUR LAURENT GEISS

Chirurgie de l'Épaule et du Membre Supérieur
Chirurgie de la Hanche et du Bassin

PRENDRE UN RDV EN LIGNE

Chicken-Ed 2012-2026 tous droits réservés

Mentions légales

Politique de confidentailité

Politique des cookies

Nous utilisons des cookies. Certains sont nécessaires, d'autres nous aident à améliorer votre expérience. En savoir plus

Mes préférences cookies

Choisissez les services que vous autorisez.

Cookies essentiels Nécessaires au fonctionnement du site.
Google Analytics Mesure d'audience anonyme.
YouTube Vidéos chirurgicales intégrées.