CHIRURGIE ORTHOPÉDIQUE et TRAUMATOLOGIQUE - MONTPELLIER
CHIRURGIE OSSEUSE ET ARTICULAIRE - CHIRURGIE PROTHÉTIQUE - CHIRURGIE ARTHROSCOPIQUE - CHIRURGIE DU SPORT
INSTABILITÉ DE L'ÉPAULE / LUXATION GLÉNO-HUMÉRALE
QU'EST-CE QU'UNE ÉPAULE INSTABLE ?
ANATOMIE ET PHYSIOPATHOLOGIE
La tête de l’humérus peut être assimilée à une portion de sphère et la glène de l’omoplate est une surface presque plane. Pour simplifier, l’articulation de l’épaule peut être comparée à un "pamplemousse qui serait posé sur une soucoupe à café" !
Cette articulation est donc extrèmement instable.
Pour compenser ce manque de stabilité osseuse, l'articulation est renforcée par des éléments de stabilisation qui sont :
Le bourrelet glénoïdien (labrum)
La capsule articulaire (enveloppe de l’articulation)
Les ligaments (renforcements de la capsule)
Les muscles.
Lorsque se produit une luxation d’épaule, le déplacement de la tête humérale peut entraîner plusieurs types de lésions :
- Arrachement du bourrelet glénoïdien (lésion de Bankart)
- Distension de la capsule et des ligaments
- Lésion osseuse : fracture de la glène ou de l’humérus.
Ces lésions ont tendance à favoriser les récidives de luxation.
Parfois on ne retrouve aucune lésion c'est surtout le cas chez les patients présentant une hyperlaxité constitutionnelle .
LES DIFFÉRENTES FORMES D'INSTABILITÉ DE L'ÉPAULE
L’instabilité de l’épaule se présente habituellement selon TROIS tableaux distincts :
- La luxation aigue d’épaule : c’est le « déboitement de l’épaule » : Elle survient dans un contexte le plus souvent traumatique entraînant une douleur brutale de l’épaule (+/- un craquement). Le patient consulte alors en urgence. Le diagnostic suspecté par l’examen clinique et confirmé par une radiographie. Le traitement consiste à remettre en place la tête de l’humérus. On parle de réduction de la luxation. Cette manoeuvre peut être faite sous simples calmants ou lors d’une courte anesthésie générale. Le patient est ensuite immobilisé dans une attelle coude au corps pour une durée de 2 à 6 semaines. Après ce délai, la rééducation est débutée. Lors de cet épisode aigu, il n’y a pas lieu de réaliser d’intervention chirurgicale en urgence sauf dans certains cas très particuliers.
- L'instabilité chronique d’épaule : correspond à la récidive des épisodes de luxation (ou d'instabilité). Elle se manifeste sous différentes formes: luxation, subluxation, luxation auto-réduite mais aussi par des symptômes plus frustres comme:
L’appréhension: il s’agit d’un patient n’ayant « plus confiance en son épaule », il a peur qu’elle se déboite à nouveau. Parfois le patient sent que son épaule «part» sans qu’elle se déboite vraiment. Cette appréhension peut être ressentie lors de la pratique sportive ou lors de la réalisation de certains gestes de la vie quotidienne.
- L'épaule douloureuse et instable (EDI) : Des douleurs de l’épaule ou une sensation d’endormissement des doigts ou de la main. La mobilité de l’épaule est très souvent normale
Parfois les symptômes sont plus discrets et la douleur peut être le seul symptôme ressenti.
LES LÉSIONS D'INSTABILITÉ DE L'ÉPAULE:
Lors d'un épisode de luxation de l'épaule il se produit des lésions anatomiques au niveau des ligaments de l'épaule, du labrum (bourrelet glénoïdien), de la Glène de la scapula et aussi parfois de la partie postéro supérieur de la tête humérale.
Certaines lésions peuvent cicatriser d'autres non.
Il est fondamental pour le chirurgien de démembrer ces lésions afin de proposer aux patients le traitement le plus approprié, celui qui permettra de diminuer le risque de récidive de façon la plus satisfaisante.
Les lésions ligamentaires:
Lorsque la tête humérale se déplace brutalement en avant elle vient déchirer les ligaments Gléno-huméraux ainsi que la capsule articulaire de l'épaule. En fonction de l'âge du patient il y a une certaine capacité de ses tissus à cicatriser. Ces ligaments peuvent également simplement se distendre (déformation plastique). Cette distension est irréversible.
Les lésions labrales:
Le labrum est un fibrocartilage qui circonscrit la surface osseuse glénoïdienne. Il a pour rôle d'augmenter la stabilité de l'articulation de l'épaule et d'empêcher la tête humérale de se déplacer hors de la cavité glénoïdienne. Lors d'un épisode de luxation de l'épaule le labrum peut se détacher de la surface osseuse : cette lésion est appelée une lésion de Bankart.
Dans certains cas elle peut également cicatriser, cela dépend de l'étendue de la lésion, de l'âge du patient et du traitement médical (immobilisation) qui a été proposé.
La cicatrisation du labrum survient surtout lorsqu'il s'agit d'un premier épisode de luxation.
Ces lésions sont réparées lorsqu'une chirurgie arthroscopique est proposée.
La lésion de bankart sous arthroscopie
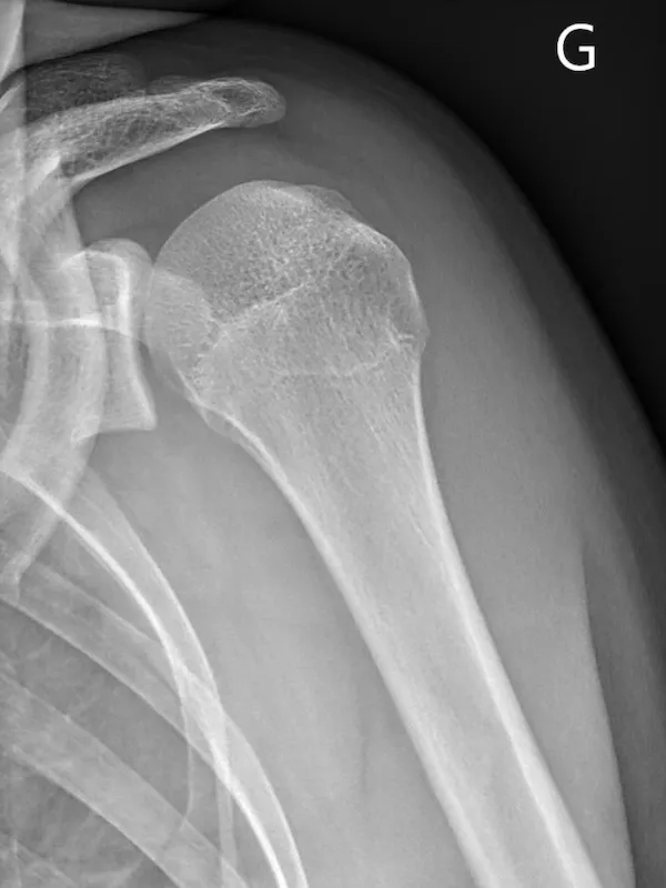
Les lésions osseuses:
Lors d'un épisode de luxation, la tête humérale venant heurter violemment la partie antéro-inférieure de la Glène, elle peut provoquer une fracture du rebord osseux de celle-ci. Lorsque la tête humérale vient s'incarcérer en regard de la glène, Elle peut également s'écraser et se déformer de façon irréversible à la manière d'une balle de ping-pong que l'on écraserait avec le doigt.
Lorsque les déformation osseuse sont importantes les techniques arthroscopiques ne suffisent pas à stabiliser l'épaule. La technique la plus appropriée est alors la réalisation d'une butée coracoïdienne. L'association d'une technique arthroscopique de réparation du bourrelet , d'une rétention capsulo-ligamentaire et un comblement de l'encoche de Hill-sachs peut être une alternative dans certains cas.
La lésion de HillSachs sous arthroscopie
Les lésions tendineuses:
Certaines luxations de l'épaule peuvent occasionner des lésions des tendons de la coiffe des rotateurs. Un examen clinique réalisé par un chirurgien spécialisé est indispensable après tout épisode de luxation de l'épaule dans le but de rechercher les signes en faveur de ces lésions. Le chirurgien vous prescrira dans ce cas des examens complémentaires.
Les lésions neurologiques:
Dans certains cas lors de l'épisode de luxation il peut survenir des lésions neurologiques d'étirement du plexus brachial. Ces lésions touchent préférentielelment le nerf axillaire mais peuvent également toucher d'autres racines ou troncs nerveux. Ces lésions sont en général résolutives en quelques semaines à quelques mois mais peuvent parfois laisser des séquelles définitives.
QUELLES SONT LES DIFFÉRENTES DIRECTIONS DE L'INSTABILITÉ DE L'ÉPAULE ?
L'INSTABILITÉ ANTÉRIEURE DE L'ÉPAULE
Dans 9 cas sur 10 l'épaule se luxe vers l'avant et vers le bas. Il s'agit de la forme la plus classique de l'instabilité de l'épaule.
L'INSTABILITÉ POSTÉRIEURE DE L'ÉPAULE
Dans 5 à 10% des cas l'épaule se luxe vers l'arrière. Il s'agit de la forme la plus rare de l'instabilité de l'épaule.
QUELS SONT LES SPORTS À RISQUE ?
Les sports à risque de luxation et d’instabilité sont les sports d’armer-contré et les sports de contact.
QUELS SONT LES EXAMENS COMPLÉMENTAIRES À RÉALISER ?
Dans un premier temps des radiographies permettent d'avoir une orientation diagnostique en corrélation avec l'examen clinique du chirurgien. Il s’agit du bilan de débrouillage qui sera complété le plus souvent par un arthro-scanner ou une IRM.
Si votre médecin généraliste vous oriente vers le chirurgien il pourra, afin de vous faire gagner du temps, vous prescrire ces examens complémentaires. Ceux-ci seront indispensables pour définir précisemment les gestes de réparation qui seront nécessaires au traitement.
QUELS SONT LES TRAITEMENTS DE L'INSTABILITÉ DE L'ÉPAULE?
Le traitement médical:
Dans la majorité des cas c'est le traitement lors d'un premier épisode de luxation traumatique. Il consiste à réduire la luxation et à immobiliser l'épaule dans une attelle spécifique.
La durée de l'immobilisation dépend de l'âge du patient.
La rééducation visant à muscler l’épaule peut, dans certains cas, être suffisante pour obtenir une épaule stable dans la vie quotidienne ou pour la pratique de certains sports surtout si il n’y a eu qu’un seul épisode de luxation.
Le traitement chirurgical:
A partir de la deuxième récidive le traitement médical est le plus souvent voué à l'échec et le traitement chirurgical devient nécessaire.
Le traitement chirurgical sera adapté au patient (âge, pratique sportive, lésions présentes sur les examens complémentaires).
La chirurgie de stabilisation de l’épaule est une chirurgie spécialisée qui fait appel à deux grands types de technique. Votre chirurgien vous proposera la technique la plus appropriée à votre cas.
LA CHIRURGIE DE L'INSTABILITÉ ANTÉRIEURE DE L'ÉPAULE
La butée coracoïdienne :
Cette intervention consiste à détacher un morceau d’os (la coracoïde) et à le refixer sur le bord antérieur de la glène afin d’obtenir un effet butée qui s'opposera à ce que la tête humérale ne reparte en avant de la glène. Cette butée est fixée par une ou deux vis ou par un système de boutons (endobutton). Elle est réalisée au travers d’une incision à la face antérieure de l’épaule de 5 cm environ.
La fixation de la butée peut se faire à l'aide de vis métalliques ou bien par des endobutton reliés par du fil très solide.
Depuis quelques années, cette technique peut également être réalisée sous arthroscopie par un chirurgien entrainé et formé. Votre chirurgien vous proposera cette technique si les lésions de votre épaule permettent de la réaliser.
La technique de Bankart Arthroscopique:
La réinsertion du bourrelet glénoidien (technique de Bankart) est réalisée aujourd’hui sous arthroscopie (vidéochirurgie) en faisant 2 ou 3 petites incisions de quelques millimètres sur la peau.
L’objectif de cette intervention est de retendre les ligaments distendus de l’épaule et de refixer le bourrelet glénoïdien à l’aide d’ancres (le plus souvent résorbables) sur lesquelles sont fixés des fils très résistants.
Le remplissage de l'encoche postérieure (Hill-sachs remplissage) :
Dans certains cas on peut être amené a combler l'encoche humérale en plicaturant la coiffe dans cette encoche osseuse à l'aide d'ancres miniaturisées.
LA CHIRURGIE DE L'INSTABILITÉ POSTÉRIEURE DE L'ÉPAULE
La butée iliaque postérieure :
Pour traiter l'instabilité postérieure on peut-être amener à prélever un greffon osseux sur la crête iliaque du patient afin de le positionner à la partie posterieure de la glène. Cette chirurgie peut-être réalisée sour arthroscopie et elle est en général associée à une réparation de la capsule et des ligaments ( bankart postérieur).
Le bankart postérieur :
La réinsertion du bourrelet glénoidien (technique de Bankart) est réalisée aujourd’hui sous arthroscopie (vidéochirurgie) en faisant 2 ou 3 petites incisions de quelques millimètres sur la peau.
L’objectif de cette intervention est de retendre les ligaments distendus de l’épaule et de refixer le bourrelet glénoïdien à l’aide d’ancres (le plus souvent résorbables) sur lesquelles sont fixés des fils très résistants.
DÉROULEMENT DE LA CHIRURGIE D'INSTABILITÉ DE L'ÉPAULE
L'intervention est réalisée sous anesthésie générale (dans près de 90% des cas) associée à une anesthésie locorégionale. L'anesthésie loco-régionale permet d'éviter les douleurs pendant l'intervention et également d'éviter les douleurs post-opératoire pendant une vingtaine d'heures après la chirurgie.
L'intervention se déroule en position semi-assise comme si vous étiez dans un transat.
La durée de l'intervention est variable en fonction des geste à réaliser (entre 30 min et 90 min).
Avant de remonter dans votre chambre vous passerez par la salle de réveil ou une radiographie de contrôle sera réalisée.
L’intervention peut être réalisée en ambulatoire ou au cours d'une hospitalisation de 24 heures. Vous serez être pris en charge à votre domicile par une infirmière du réseau de soins pendant les 5 jours qui suivront l'intervention.
Les suites de l'intervention
La chirurgie de l'instabilité de l'épaule est habituellement réalisé en hospitalisation ambulatoire. Vous pouvez demander néanmoins à rester une nuit hospitalisé.
Le patient est immobilisé par une attelle coude au corps pendant 3 semaines en moyenne. Dans certains cas l'immobilisation peut être plus longue.
La douleur sera calmée par des antalgiques adaptés en perfusion ou en comprimés.
Le Lendemain de l’intervention le pansement est refait par l’infirmière du service. Il sera ensuite refait tous les 3 jours pendant 15 jours.
Vous serez également incité à sortir le bras de l’attelle en position allongée ou assise afin de mobiliser le coude, le poignet et les doigts. Vous serez autorisé à utiliser la main pour la lecture, pour manger ou vous habiller.
De retour à la maison
Une infirmière viendra vous faire les pansements 2 à 3 fois par semaine. Les stéristrips (pansements autocollants) seront enlevés à 15 jours. Votre douleur sera calmée par des antalgiques adaptés.
L’attelle est à garder pendant 3 semaines en cas de butée et pendant 3 à 6 semaines en cas de Bankart sous arthroscopie.
Vous verrez le chirurgien ou le médecin rééducateur au 21ème jour qui examinera votre épaule, vous donnera des conseils et vous prescrira la rééducation. Habituellement la rééducation est effectué en ville chez votre kinésithérapeute habituel qui suivra les recommandations précises de votre chirurgien. Il vous enseignera également quelques exercices supplémentaires que vous effectuerez à la maison seul. La balnéothérapie (rééducation dans l’eau) est fortement conseillée.
La durée de rééducation est de 4 à 6 mois après ce type d’intervention.
Vous reverrez le chirurgien au 45ème jour puis tous les 45 jours jusqu'à la fin de la rééducation avec des contrôles cliniques et radiographiques.
QUELS SONT LES RISQUES DE LA CHIRURGIE ?
En dehors des risques liés à l’anesthésie, Il existe quelques risques spécifiques à ce type de chirurgie.
- Le premier est la récidive de luxation malgré l’intervention. Ce risque est inférieur à 5% et survient surtout lors de nouveaux traumatismes sportifs en cas de butée coracoïdienne.
- Le risque d’infection faible, mais toujours présent. En cas d'infection un nouveau geste chirurgical peut être necessaire et un traitement antibiotique prolongé pendant 3 mois est la règle. L'infection peut mettre en péril le résultat de la chirurgie.
- Pour la butée, plus spécifiquement il existe un risque d’hématome postopératoire, de non consolidation ou de lyse (= disparition) de la butée. La(les) vis peut(peuvent) également s'arracher ou se casser.
- Pour le Bankart, il existe un risque exceptionnel de migration (déplacement) d’une ancre.
- L'algodystrophie est une complication possible comme pour toute chirurgie de l'épaule. Elle est le plus souvent résolutive mais augmente le délai de récuperation et occasionne des douleurs.
- Les lésions neurologiques sont rares mais peuvent survenir au décours d'une chirurgie de stabilisation de l'épaule
N'hésitez pas à poser toutes les questions lors de l'entretien médical de consultation. Il est fondamental que vous compreniez à la fois ce dont vous souffrez, ce que le chirurgien vous propose et les risques.
QUELQUES PRÉCISIONS UTILES AVANT VOTRE INTERVENTION
Nos chirurgiens spécialistes de l'épaule
DOCTEUR YANNICK ROUSSANNE
Chirurgie de l'Épaule et du Membre Supérieur
Chirurgie de la main, du poignet et du coude
DOCTEUR LAURENT GEISS
Chirurgie de l'Épaule et du Membre Supérieur
Chirurgie de la Hanche et du Bassin
Chicken-Ed 2012-2023 tous droits réservés