CHIRURGIE ORTHOPÉDIQUE et TRAUMATOLOGIQUE - MONTPELLIER
CHIRURGIE OSSEUSE ET ARTICULAIRE - CHIRURGIE PROTHÉTIQUE - CHIRURGIE ARTHROSCOPIQUE - CHIRURGIE DU SPORT
L'ARTHROSE DE L'ÉPAULE / LES PROTHÈSES DE L'ÉPAULE
LES PATHOLOGIES ARTICULAIRES DE L'ÉPAULE
L'arthrose est la plus fréquente des pathologies qui justifie de la mise en place d’une prothèse d’épaule.
On distingue:
- L'arthrose primitive qui est liée à l'usure du cartilage sans étiologie particulière. Il existe des formes familiales mais le plus souvent c'est une dégénérescence liée à l'âge. La dégénérescence entraîne le frottement des os les uns contre les autres. Cela conduit à la formation d'éléments osseux appelés ostéophytes qui limitent progressivement les amplitudes articulaires (raideur). L'inflammation de l'articulation évolue par poussées qui entrainent des douleurs.
- L'arthrose secondaire est une usure du cartilage qui survient secondairement:
- au mauvais fonctionnement ou à la rupture des tendons de la coiffe des rotateurs. On parle alors d'omathrose excentrée. Dans ce cas la prothèse qui sera mise en place sera une prothèse inversée qui remplacera également la fonction des tendons de la coiffe des rotateurs.
- à une fracture de l'épaule à cause des modifications architecturales des os secondaires à la fracture (cal vicieux, lésions cartilagineuses )
- à une nécrose de la tête de l'humérus: elle peut être idiopathique (sans cause retrouvée) ou bien secondaire à une pathologie métabolique ou bien dans les suites d'une fracture.
- à une maladie inflammatoire (polyarthrite rhumatoïde) qui peut aussi conduire à la destruction progressive de l’articulation de l’épaule. On parle plus d'arthropathie que d'arthrose dans ce cas.
- enfin l'arthrose peut être secondaire à une instabilité de l'épaule. Les luxations répétitives entrainent une dégénerescence du cartilage avec le temps.
QUELS SONT LES SYMPTÔMES DE L'ARTHROSE DE L'ÉPAULE ?
La symptomatologie est dominée par les douleurs de l’épaule et un enraidissement progressif de l'articulation. Les douleurs peuvent survenir lors des mouvements de l’épaule (douleur mécaniques) ou bien la nuit (douleurs inflammatoires). Il existe très fréquemment des douleurs la nuit qui peuvent empêcher le patient de dormir sur son épaule. Ces douleurs sont localisées au niveau de l’épaule mais peuvent irradier vers le bras ou vers le rachis cervical.
Une difficulté voire une impossibilité de réaliser certains mouvements à cause de la raideur ou de la douleur. Une perte de force est souvent constatée et celle-ci est d’autant plus importante qu’elle est associée à des lésions des tendons de la coiffe des rotateurs.
Les craquements, claquements ou sensation d’accrochage sont en rapport avec le frottement des tendons sur l’acromion.
Les patients se plaignent également d'un inconfort et de douleurs la nuit avec des difficultés à dormir sur l'épaule et à trouver une position indolore en position allongée. Parfois il peut exister un gonflement de l'épaule ou un déformation de celle-ci.
Avec le temps on peut constater aussi une amyotrophie de l'épaule c'est à dire une perte des masses musculaires de l'épaule.
LA RAIDEUR ET LES DOULEURS SONT LES SYMPTÔMES HABITUELS DE L'ARTHROSE DE L'ÉPAULE ...
QUELS SONT LES EXAMENS COMPLÉMENTAIRES À RÉALISER ?
Dans un premier temps des radiographies permettent d'avoir une orientation diagnostic en corrélation avec l'examen clinique du chirurgien. Il s’agit du bilan de débrouillage qui sera complété le plus souvent par un arthro-scanner (plus rarement une IRM).
Si votre médecin généraliste vous oriente vers le chirurgien il pourra, afin de vous faire gagner du temps, vous prescrire ces examens complémentaires (radiographies + arthroscanner). Ceux-ci seront indispensables pour définir précisemment les gestes de réparation qui seront nécessaires au traitement.
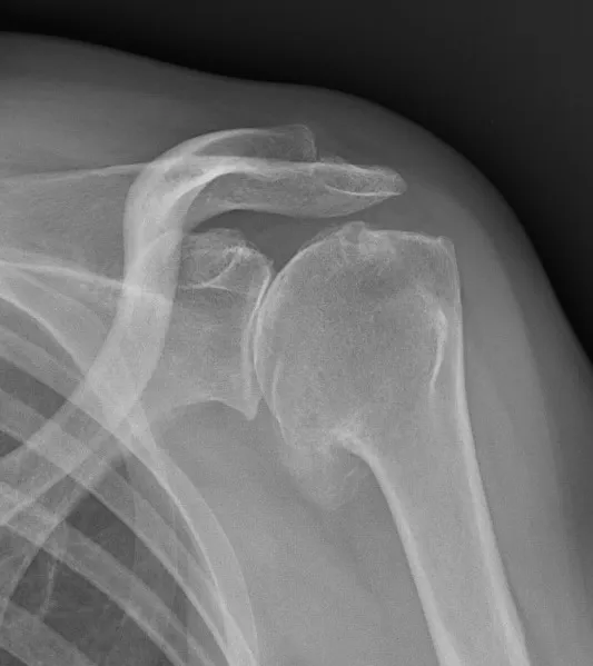
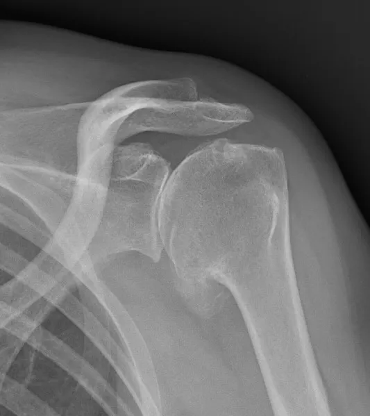
Aspect radiographique d'une omarthrose primitive
Arthroscanner d'une omarthrose secondaire secondaire à une lésion de la coiffe des rotateurs.
Le déroulement d'un arthroscanner
QU'EST-CE QU'UNE PROTHÈSE DE L'ÉPAULE ?
La prothèse de l'épaule est un implant articulaire qui remplace les surfaces cartilagineuses et osseuses de l'articulation de l'épaule.
Ces implants sont constitués de plusieurs parties qui s'articulent entre elles pour reproduire la fonction articulaire.
Les prothèses sont en métal (titane, chrome-cobalt ou autre alliage) et également en partie en polyéthylène.
La fixation dans l'os des prothèses est réalisée de deux façons :
- avec ciment, il s'agit d'un polymère synthétique qui va fixer la prothèse à l'os .
- sans ciment, c'est-à-dire que la prothèse est enfoncée en force et que secondairement, l’os « colle » la prothèse par l'intermédiaire d'un revêtement osteo-inducteur ( qui induit la fabrication d'os).
La durée de vie moyenne d’une prothèse d’épaule est d’une quinzaine d’années. Au delà, il convient de surveiller régulièrement la prothèse et parfois il est nécessaire de la changer.
LES PROTHÈSES ANATOMIQUES DE L'ÉPAULE
Les prothèses anatomiques sont des implants qui vont remplacer l'anatomie native des surfaces articulaires de la tête humérale et de la cavité glénoïdale.
L'implant huméral est composé d'une tige prothétique qui va etre insérée dans l'humérus et d'une "calotte" qui vient remplacer la tête humérale. Ces implants sont en titane ou en alliage chrome-cobalt.
L'implant glénoïdien est en polyéthylène. Il s'agit d'une matière plastique très resistante.
Pour que l'on puisse proposer une prothèse anatomique, il faut impérativement que les tendons de la coiffe des rotateurs soient sains et fonctionnels.
Il existe plusieurs types de prothèses anatomiques : des prothèses de resurfaçage sans tige humérale, des prothèses à tiges courtes qui ont pour but de préserver le capital osseux et des prothèses à tiges longes qui peuvent être utilisées lors de changements prothétiques.
Dans certains cas on peut être amené à ne changer que la partie humérale de l'articulation. c'est le cas des nécroses de la tête huémrale lorsque le cartilage de la glène est en bon état.
LES PROTHÈSES INVERSÉES DE L'ÉPAULE
Ce sont des prothèses qui sont utilisées lorsque les tendons de la coiffe des rotateurs sont rompus ou non fonctionnels.
Elles sont composées d'une tige humérale qui présente une cupule à sa partie supérieure et une pièce glénoïdienne qui a la forme d'une hémisphère. Le muscle deltoïde seul permettra l’élévation du bras.
Leur conception est dite "inversée" car la partie shérique est positionnée sur le versant glénoïdien contrairement à une épaule originelle. Cette architecture spécifique leur permet de pouvoir restaurer la fonction de l'épaule grâce à l'action du deltoïde qui devient le moteur principal de l'épaule.
COMMENT SE DÉROULE LA CHIRURGIE D'UNE PROTHÈSE DE L'ÉPAULE ?
L'intervention est réalisée sous anesthésie locorégionale (dans près de 90% des cas) qui est parfois associée à une anesthésie générale. L'anesthésie loco-régionale permet d'éviter les douleurs pendant l'intervention, d'éviter une anesthésie générale et également d'éviter les douleurs post-opératoire pendant une vingtaine d'heures après la chirurgie.
L'intervention se déroule en position semi-assise comme si vous étiez dans un transat.
Pour votre confort une sédation plus ou moins importante vous sera proposée. Nous utilisons également la musique et les casques de réalité virtuelle pour vous permettre de vous détendre au maximum.
La durée de l'intervention est variable en fonction des geste à réaliser (entre 30 min et 90 min).
Avant de remonter dans votre chambre vous passerez par la salle de réveil ou une radiographie de contrôle sera réalisée.
L’intervention est réalisée au cours d'une hospitalisation de 48 à 72 heures ou en ambulatoire dans certains cas.
Dans le cas d'une hospitalisation classique, le séjour à la clinique est de 3 à 4 jours et vous serez ensuite pris en charge dans un centre de rééducation pendant 3 à 4 semaines afin de débuter la rééducation précoce gage d'un bon résultat de votre chirurgie.
Si le chirurgien vous propose de rentrer à domicile après la chirurgie, vous serez être pris en charge à votre domicile par une infirmière du réseau de soins pendant les 5 jours qui suivront l'intervention. (Le PROTOCOLE HORUS-SHOULDER) et votre rééducation se déroulera à domicile ou chez votre kinésithérapeute habituel.
Voici une vidéo montrant la mise en place d'une prothèse totale inversée de l'épaule
Quels sont les risques de la chirurgie ?
Votre chirurgien vous expliquera les risques spécifiques liés a ce type de chirurgie lors de la consultation. Des documents vous seront également fournis explicitant en détail tous les risques les plus fréquents liés à la chirurgie de l'épaule et à l'anesthésie (un document vous sera également donné par l'anesthésiste lors de la consultation pré-opératoire).
N'hésitez pas à poser toutes les questions lors de l'entretien médical de consultation. Il est fondamental que vous compreniez à la fois ce dont vous souffrez, ce que lechirurgien vous propose et les risques.
En dehors des risques liés à l’anesthésie, Il existe quelques risques spécifiques à ce type de chirurgie.
- Un risque de « capsulite » ou algodystrophie de l’épaule (enraidissement et douleur).
- Un risque d’infection faible mais toujours présent ( 5%)
- Un risque d’hématome ou de saignement post-opératoire.
- Un risque neurologique dans certains cas il peut exister une parésie du bras qui normalement disparait en quelques semaines mais qui peut également dans de rares cas être définitive
Les suites de l'intervention
La durée d’hospitalisation est en moyenne de 2 jours (de 1 à 3 jours).
L'immobilisation est réalisée dans une attelle coude au corps. Le Lendemain de l’intervention le pansement est refait par l’infirmière du service. Il sera ensuite refait tous les 3 jours pendant 15 jours.
Dès le réveil de l'épaule, la douleur sera calmée par des antalgiques adaptés en perfusion puis en comprimés.
Dès le lendemain de l’intervention, le kinésithérapeute du service vous apprendra des exercices d'auto-rééducation que vous devrez reproduire plusieurs fois par jour (5 minutes 5 fois par jour).
Vous serez également incité à sortir le bras de l’attelle en position allongée ou assise afin de mobiliser le coude, le poignet et les doigts. Vous serez autorisé à utiliser la main pour la lecture, pour manger ou vous habiller.
Le séjour en centre de rééducation
Les pansements seront refaits 2 à 3 fois par semaine. Les stéristrips (pansements autocollants) ou les agrafes seront enlevés à 15 jours. Votre douleur sera calmée par un traitement antalgique adapté.
L’attelle est à garder pendant 3 à 4 semaines.
Vous serez pris en charge par le médecin rééducateur et l'équipe du centre de rééducation dès votre arrivée et vous réaliserez un programme intensif de rééducation afin de permettre d'optimiser votre récupération articulaire. Vous reverrez le chirurgien au 28ème jour puis tous les 45 jours jusqu'à la fin de la rééducation.
A la sortie du centre, cette rééducation est poursuivie en ville chez votre kinésithérapeute habituel qui suivra les recommandations précises . La balnéothérapie (rééducation dans l’eau) est peut être conseillée.
La durée habituelle de la rééducation est de 6 à 12 mois après ce type d’intervention.
Quelques précisions utiles ...
Nos chirurgiens spécialistes de l'épaule
DOCTEUR YANNICK ROUSSANNE
Chirurgie de l'Épaule et du Membre Supérieur
Chirurgie de la main, du poignet et du coude
DOCTEUR LAURENT GEISS
Chirurgie de l'Épaule et du Membre Supérieur
Chirurgie de la Hanche et du Bassin
Chicken-Ed 2012-2023 tous droits réservés